在中国,每6对夫妇里就有一对饱受不孕不育的困扰,其中,输卵管不通是导致女性不孕的重要因素,约占40%。然而,尽管输卵管不通是造成女性不孕的常见原因,但仍有不少不孕症患者求诊多年,却一直忽视进行这方面的检查。

只要进行过性生活就有可能输卵管不通
有些患者认为没有怀过孕,也没做过人流手术,输卵管就不会有问题。
其实,这种观点是错误的!
女性开始性生活后,就失去了处女膜的屏障保护作用,细菌等微生物很容易乘虚而入。
此外,在性生活过程中,如果男性包皮清洗得不够干净等,也会携带一些病原微生物侵入女性宫颈甚至更深处的内生殖系统,导致女性患上宫颈炎、盆腔炎性疾病等,一旦炎症波及细如发丝的输卵管,导致黏膜水肿、充血,就很容易造成输卵管不通甚至严重堵塞,引发不孕。
2年以下的不孕症患者,可以先做输卵管通液检查;2年以上的不孕症患者,发生过宫外孕的人,以及做过宫腔镜或腹腔镜手术的不孕症患者,则要进行输卵管造影检查。

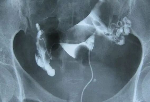
做输卵管造影多数人不会感到疼痛
在该做而没做输卵管造影检查的不孕症患者中,有些人因为担心检查痛苦而迟迟不敢做,有些人则认为做完造影检查,要等3个月以后才能考虑要孩子,若检查显示自己的输卵管没问题,岂不是白白浪费了3个月的时间。
其实,做输卵管造影检查,并没有大家想象中那么痛苦。一般不会感觉到疼,和做妇科检查差不多。
至于有些人觉得做完造影检查,要等3个月才能要孩子,是在浪费时间,其实不然。对于治疗不孕不育来说,查明病因是非常关键的!
输卵管不通占女性不孕因素的40%左右,比例很高,所以不孕的女性存在输卵管不通的可能性很大。即便检查显示其没有输卵管方面的问题,也不算白做,可以排除这方面的因素,同时,其他原因所致的不孕,如甲状腺疾病、排卵障碍等,也需要一定的治疗时间,并不能很快要孩子。

输卵管造影须在月经干净后3~7天进行
需要提醒的是,输卵管通液或造影检查并不是想什么时候做就什么时候做。
检查要在月经干净后3~7天进行,而且检查前要避免性生活,治愈盆腔炎、宫颈炎、阴道炎等妇科炎症,以避免病原微生物向上进入宫腔,造成宫腔感染。
对于月经周期短的女性来说,建议在月经干净后的第三天赶紧做检查,以免等的时间长了,已经过了排卵期。另外,排卵后做输卵管检查,会把子宫内膜推到盆腔,可能造成子宫内膜异位症。
查看更多(共0条)评论列表